El kell kezdeni azzal a ténnyel, hogy a legegyszerűbb organizmusok nagyon régen megjelentek; a bolygó legősibb lakóinak tartják őket. Fennállásuk során hihetetlenül ellenállóvá váltak a különféle kihívásokkal szemben. Még a legveszélyesebb környezetben is képesek túlélni.
Ezek a mikroorganizmusok egy nagyon kényelmes létezési módot választottak maguknak - a parazitizmust, különösen az emberi testben. Mint korábban említettük, ezek a mikroorganizmusok hihetetlenül „ártalmasak” és tartósak, ezért néha olyan nehéz megszabadulni tőlük.
Többféle hely létezik, ahol a paraziták „laknak”. Az első típusba tartoznak az endogén mikroorganizmusok, vagyis azok, amelyek az emberi testben vannak. A második típusba azok az exogén paraziták tartoznak, amelyek szívesen „telepednek meg” a bőrön, és különféle bőrbetegségeket okoznak.
A protozoon paraziták típusai
Alapvetően 4 fajta parazita létezik, amelyek „jól élnek” az emberi szervezetben.
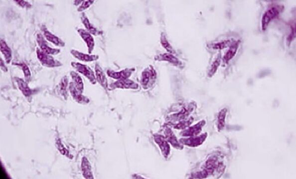
Flagellates
Ezek közé tartozik a Giardia és a Trypanosomes. Ez az osztály a paraziták legősibb képviselőinek képviselője. Ezt a nevet a mozgásszervük miatt kapták: flagella. Maguk a paraziták mérete egyszerűen mikroszkopikus, állandó formájúak, és általában két részre osztva szaporodnak.

Nagyon veszélyesek az emberekre és az állatokra; ha bejutnak a szervezetükbe, nagy károkat okoznak. Különféle betegségeket is okoznak. Ilyen például az amerikai alvási láz, a bőrleishmaniasis és még sokan mások. A belekben, a vérben és a bőrön parazitálhatnak. Így negatívan befolyásolja az emberi egészséget.
Sporozoák
Ez a fajta protozoa parazita nagyon összetett fejlődési úttal rendelkezik. Jelenleg ismert, hogy az osztály körülbelül 1400 fajt tartalmaz. Minden képviselő parazita életmódot „választ”, és rendkívül veszélyes az emberekre és az állatokra. A szaporodás sejtosztódással történik.

Leggyakrabban emberi vagy állati szöveteket és szerveket választanak „lakóhelyként”. Ez a faj sok betegséget okoz. Például, mint a malária, a toxoplazmózis.
Csiliák
Ezek közé tartozik a balantidia. Körülbelül 7000 különböző faj létezik. Ezeknek a parazitáknak a mozgásszervei a csillók, amelyekből sok van.

Ennek a típusnak a különlegessége a két mag jelenléte. Állandó testalkatúak és héjuk van. A szaporodás általában az osztódás eredményeként megy végbe. Ez a faj nem kevésbé veszélyes az emberekre és az állatokra, mint az előző kettő.
Sarcodaceae
Ezek közé tartozik az amőba dizentéria. Ők a legprimitívebbek minden típus és osztály között. Körülbelül 10 000 különböző faj létezik! Nincs állandó testalkatuk. Emberekben és állatokban paraziták.

Leggyakrabban az emésztőrendszert választják tevékenységükhöz. Emiatt nagyon súlyos mérgezés fordulhat elő emberben. Egyes esetekben a halálesetek gyakoriak.
Ezeket a típusokat a különféle „tesztekkel” szembeni nagy ellenállás egyesíti. Végtére is, egy fertőzött személy folyamatosan próbál küzdeni a parazitákkal, de ez nem mindig sikerül, mert hogyan tud ellenállni minden intézkedésnek.
Miért veszélyesek, milyen betegségeket okoznak?
A protozoon paraziták valóban nagyon veszélyesek az emberi egészségre. Különféle betegségeket okozhatnak, amelyek bizonyos következményekkel járnak. Semmi esetre sem szabad alábecsülni a protozoon parazitákat, mert jelentősen károsíthatják az embert.
A protozoon paraziták által okozott betegségek:
Malária
Ezt a betegséget bizonyos változások jellemzik. Néha enyhülés jelentkezik, majd a megkönnyebbülés helyébe a tünetek súlyosbodnak. A fő tünetek a fejfájás, láz, hányinger, hányás és görcsök.

Sok éven át a kitint tartják a legjobb kezelésnek. E betegség miatti halálozások azonban leggyakrabban olyan helyeken fordulnak elő, ahol az orvostudomány alacsony szinten fejlődik.
Amőbiázis
Egy másik nem kevésbé veszélyes betegség, amelynek következményei szintén szomorúak lehetnek. A kórokozó az amőba dysenteria.
A tünetek a fertőzés után 7-10 nappal kezdődnek. Ezek közé tartozik a fejfájás, az általános rossz közérzet, a láz, és néhány embernek gyomorpanaszok is lehetnek. Komplikációk következnek, amelyek májproblémákban fejeződnek ki. Ha a beteg nem kezdi meg időben a kezelést, és nem fordul szakemberhez, a következmények visszafordíthatatlanok lesznek.
Toxoplazmózis
A betegség kórokozója a Toxoplasma gondii. Ennek a betegségnek a tünetei közé tartozik a szemkárosodás, az idegrendszer, valamint a szív- és érrendszer szenvedése. Nagyon gyakran eleinte a fertőzés nem figyelhető meg, és elmúlik, mintha megfázás lenne.

A terhesség alatti fertőzés nagyon veszélyes. Még ha a gyermek túléli is, nagy valószínűséggel komplikációkkal és szem- vagy idegrendszeri károsodással jár. Ezért már az első tüneteknél is feltétlenül orvoshoz kell fordulni.
Balantidiasis
Mikroorganizmus, például balantidia okozza. Ennek a betegségnek a tünetei közé tartozik a hasi fájdalom és az emésztési zavar. Egyes esetekben magas láz és a szervezet mérgezése is lehetséges.
Leishmaniasis
A betegség kórokozója a leishmania. A bőr és a nyálkahártya megnyilvánulásaival fekélyek jelennek meg. A nyálkahártya megnyilvánulásai esetén gyakran előfordulhat duzzanat. Mivel ezek a betegségek a légutakhoz kapcsolódnak, halálesetek is előfordulhatnak.
A leishmaniasis főleg a forró országokban fordul elő. Ez a betegség meglehetősen gyakori, és 87 országban fordul elő.
Mint látható, a protozoon paraziták hihetetlenül veszélyesek az emberi egészségre, a mikroorganizmusok egyszerű szerkezete ellenére. Helyrehozhatatlan károkat okozhatnak az emberi szervezetben, valamint bizonyos következményekhez és szövődményekhez vezethetnek.
Hogyan továbbítják?
A fertőzés 4 leggyakoribb módja van:
- Kapcsolat - háztartás. Ez a típus az egészségügyi intézkedések vagy a higiéniai szabályok megsértése miatt fordul elő. A fertőzés különböző tevékenységekből eredhet: mások dolgai, különösen személyes higiéniai termékek, edények és hasonlók használata. Ezért nagyon fontos betartani a személyes higiéniai szabályokat, rendelkezni saját testápolóval, és semmilyen körülmények között ne használjon másokét.
- Széklet – szájon át. Ez a típus széklettel vagy hányással való érintkezés eredményeként fordul elő. A protozoon parazita először az „új gazdaszervezet” kezére vagy táplálékába kerül, majd a testébe.
- Élelmiszerből. Ez a típus a szennyezett élelmiszerek fogyasztása következtében alakul ki. Ez lehet rosszul főtt hal vagy hús, mosatlan zöldségek és gyümölcsök, valamint tejtermékek.
- Transzmisszív. Ez a típus a fertőzött tárgyról harapás során, azaz nyálon keresztül történő átvitel eredményeként jelentkezik.
Hogyan lehet megszabadulni tőlük
A cikk elolvasása után ez a kérdés mindenképpen felmerül. A protozoon parazitákkal való fertőzés nagyon gyakori, ezért rendkívül fontos a megszabadulásuk kérdése.
Mint korábban említettük, a fertőzés első tüneteinek megjelenésekor orvoshoz kell fordulni. A szakember bizonyos vizsgálatokat és vizsgálatokat írhat elő. Ezek átadása után az orvos pontos diagnózist készít. Ezt követően sürgősen el kell kezdeni a kezelést. Az öngyógyítás sem ajánlott, mert szakember tud segíteni a helyes diagnózis felállításában és a megfelelő kezelés előírásában. A legtöbb esetben az orvosok különféle gyógyszerekkel történő kezeléshez folyamodnak, amelyek segítenek a paraziták eltávolításában és felgyorsítják az ember gyógyulását.
A modern időkben sok különböző jó gyógyszer létezik, amelyek segítenek a protozoon paraziták fertőzésében. A piacon nagyon sokféle gyógyszer található, ami lehetővé teszi, hogy az adott beteg számára megfelelőt találjuk meg.
Megelőző intézkedések
Annak érdekében, hogy ne találkozzon a fenti problémákkal, bizonyos szabályokat be kell tartania, valamint megelőző intézkedéseket kell tennie.
A leghatékonyabb szabályok azok, amelyeket a gyerekek az iskolában tanulnak meg. Először is nem szabad megfeledkezni a gyümölcsök és zöldségek alapos mosásáról. Megfőzheti is, vagy levághatja a bőrét.
Ezután nem ehet nyers halat vagy rosszul főtt húst. A termék teljes főzéséhez teljesen el kell készíteni az edényt, be kell tartani a hőmérsékletet és az időviszonyokat. Az alkalmi szexuális érintkezést kerülni kell. Ezenkívül rendszeres orvosi vizsgálaton kell részt venni.













